
Click image to Enlarge
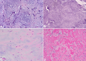
Image A shows a myxoid stroma. Note the dispersed spindle myoepithelial cells in the stroma, some of which have a stellate morphology. Image B shows a chondroid stroma. Image C shows stroma with cartilage formation. Image D shows a hyalinized stroma.
Read more..
No comments:
Post a Comment